Service

Smile Design

Smile O Care Services Smile Design

Smile Designing Clinic in Lucknow – Digital Smile Design Experts

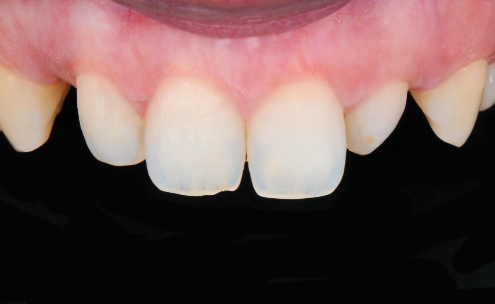
W elcome to Smile O Care, the best smile-designing clinic in Lucknow. We trust that a beautiful smile is the most prominent feature of a person's personality. Our Dental clinic is in the centre of Gomti Nagar and managed under the artistic and clinical wisdom of Soni Giri, who is committed to the philosophy that all smiles are unique, just like their owners.

We do not simply repair teeth; we balance the aesthetics of the face with the symmetry of the dental, to make life-changing improvements with our smile design treatments in Lucknow. With the combination of sophisticated technology and thorough knowledge of tooth proportions, we have positioned ourselves as the centre for people seeking a complete makeover of their mouth. You can fix those minor flaws, or you can have a complete overhaul of your entire mouth. Our staff will offer you the vision and the expertise to give you a smile that is both functional and spectacular.

Types of smile design treatments in Lucknow

Here in Smile O Care, we provide a wide range of treatments that are meant to tackle various aesthetic issues, hence a holistic approach to beauty:

Porcelain Veneers & Laminates: extremely thin, highly customised shells that are used to refine the front side of the teeth to enhance colour, form, and size.

Composite Bonding: It is a low-invasive procedure wherein tooth colored resin is moulded to restructure any chips, cracks, or gaps.

Professional Teeth Whitening: More advanced laser whitening procedures, which eliminate deep-rooted stains to give one a brilliant result.

Gum Contouring: This is done to restructure the gum line so as to get rid of the "gummy smile" and make the gums appear more balanced and symmetrical.

Digital Smile Design in Lucknow: A progressive tool of 2D and 3D planning where patients are able to see their outcome before the very treatment is performed on them.

Clearly Aligner: Utilising a system of so-called invisible orthodontics to straighten his teeth as a segment of a broader aesthetic strategy.

Benefits Digital Smile Design in Lucknow

The benefits of aesthetic transformation in our clinic are much greater than anything that can be reflected in a mirror:

Tailored Facial Balance: We consider your lip feature, the colour of your skin and the shape of your face to make sure that your new teeth will look natural and age-tested.

Familiar Results: With the Digital Smile Design in Lucknow, we remove the guesswork in the process, so the end physical output will be a perfect fit in terms of physical appearance with the online plan.

Increased Social Confidence: A bright smile is an effective springboard to a better social life and business image.

Enhanced Oral Health: Creation of better tooth structure through aesthetic procedures improves the overall chewing of food, as well as correcting any bite problems.

Long-Term Durability: We polish using E-Max and Zirconia, which are high-quality and biocompatible, such that they are not stained or worn out.

Cost of Best Smile Design Service In Lucknow

We believe in financial transparency in all our financial transactions at Smile O Care. The cost of a smile makeover depends on the resources needed, depending on the complexity of the case and the materials:

First Aesthetic Consultation: Dr Soni Giri offers a facial study and preliminary mock-up with the purpose of discussing the objectives and expectations.

Pricing by Material: We provide different grades of ceramics and resins, which means that the patients can choose the plan that fits their budget, yet still does not affect their safety.

Phased Treatment Plans: In case of extensive rehabilitation, we can divide the treatments into several months to introduce the change in finances more easily.

Interest-Free Financing: We will offer easy pay modules and EMI plans to make sure that everyone can afford the services of the Best Smile Design Service Doctors In Lucknow.

Why Choose Us?

This is what we have made Smile O Care to be the top Smile Designing Clinic in Lucknow:

Dr Giri as best smile designing doctor in Gomti Nagar Lucknow, is known to have a keen attention to detail and tends to make sure that all her restoration looks completely natural.

Specialist Collaboration: There is the incorporation of specialists, such as the Doctors in Lucknow of the Best Smile Design Service, who are of the highest quality in the fields of prosthodontists and periodontists to deal with more complex multidisciplinary cases.

Precision Technology: Our infrastructure is geared to a high level of results, including intra-oral scanners, 3D facial photography, and so on.

Patient-Centric Mock-ups: Test your new smile with a temporary model of your new smile, the so-called trial smiles so you can familiarise yourself with the feel and appearance of your new permanent smile before it is permanently fitted.

Sterilisation Excellence: Our Gomti Nagar plant adheres to the hygiene standards in different parts of the world and also assures you of your safety in the process of aesthetic experience.

FAQ

Q: What is the duration of a whole smile makeover?

A: It can last as short as two sittings (when you are doing veneers) and possibly take a few months (when orthodontic alignment is required). The first time you visit with us, we give you a certain timeline.

Q: Can my new smile be considered fake or too white?

A: Not at all. We desire our Natural Aesthetics. We do this through the use of translucency and shade-matching technology, and make your teeth feel and look like real enamel.

Q: Is the procedure painful?

A: The majority of the smile-designing processes are not invasive. In cases of treatment involving the preparation of teeth, we have high-end numbing methods that will make you feel no pain whatsoever.

Q: How do I maintain my results?

A: You have to brush your teeth, floss them and see your dentist every six months just like your natural teeth. We also offer specialised care directions for veneers and crowns.

Q: Will you show me what I will look like before I commit?

A: Yes! With our digital devices, we virtually simulate that picture of your face with your new smile to enable you to provide feedback and request alteration, before we even lay a scalpel to a tooth.

01

Say Hello

Our caring team connects with you to plan your child’s visit.
02

Gentle Check-Up

A calm and friendly dental consultation designed for little smiles..
03

Happy, Healthy Smiles

Comfort-focused dental care that keeps kids smiling confidently.

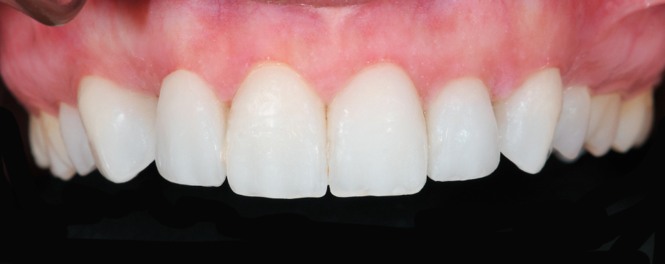
Long-Lasting Smile Enhancement

Smile design treatments offer durable aesthetic improvements that enhance your smile without compromising surrounding healthy teeth.

Online Booking

Quick and convenient appointment scheduling.

Expert Pediatric Care

Gentle, child-focused dental care by experienced professionals.

Insurance Support

Assistance with dental insurance and treatment coverage.

Smile Enhancement

Safe and gentle cosmetic dental treatments for confident smiles.